阿南市富岡町で歯科・歯医者をお探しなら

〒774-0030 徳島県阿南市富岡町南向30-5/「阿南駅」徒歩5分

診療時間
9:00~12:30 ×
14:10~18:30 × ×

●:9:00~12:10
▲:13:20~15:30 休診日:日曜・祝日

ご予約・お問合せはこちらへ

当院の矯正歯科

※自費診療です

メリットの多い小児矯正に力を入れています

乳歯から永久歯に生え変わる時期(6歳~9歳)に矯正治療を行うと、歯を抜かずに済んだり、費用を抑えられたりするなど、メリットが多いのをご存じでしょうか。そのため当院では、お子さまの矯正治療に力を入れて取り組んでいます。

お子さまの矯正治療のメリット
  • 歯並びが悪くなるのを事前に防げる
  • 歯を抜かなくて済むことが多い
  • 大人になってからの矯正治療よりも、費用が安い
  • 大人の矯正のように、治療後に悪い歯並びに戻るリスクが少ない
  • 上下のあごのバランスが良くなり、顔立ちが整う

なぜこのようにメリットが多いかというと、成長段階にあるお子さまの場合、その成長する力を利用しての矯正治療ができるからです。成長する力を使えば、あごの骨を横に広げ、歯が生えるスペースを確保できます。そうすることで歯並びが悪くなるのを防げるだけでなく、スペース確保のために歯を抜く必要もありません。

お子さまの矯正治療とは、悪くなった歯並びを治すのではなく、成長する力を使って良い歯並びになるように導くものです。歯並びを悪くさせる口周りの癖や骨格など、根本的な原因を解決していく治療ですので、大人の矯正のように、治療後に悪い歯並びに戻るリスクがほとんどありません。将来、歯並びが悪くなるリスクを抑えられるのは、お子さまの人生において特に大きなメリットだと言えるのではないでしょうか。
実績も豊富ですのでご安心ください。

反対咬合(受け口)の方は、お早めにご相談を

歯並びの乱れにはさまざまな種類がありますが、中でも「受け口(反対咬合)」と呼ばれる状態の場合は、8歳までに治療を開始するのが望ましいとされています。

私どもでは、少なくとも8歳までにご相談いただいた上で、もし必要であれば治療の開始をおススメしています。当院の定期検診では噛み合わせもチェックしていますので、心配な方や気になる方は、ぜひお早めにご相談ください。

急速拡大装置、マルチブラケットを中心とした治療

矯正治療にはいくつかの方法がありますが、当院では「上顎は急速拡大装置、下顎は床矯正」を中心に行っています。

急速拡大装置とは?

急速拡大装置によりあごの骨を横に広げることで、歯が生えてくるスペースを確保します。

また顎を広げるだけでなく、最後はブラケット治療も行い、歯並びを改善します。
噛み合わせや歯並びを整えていくことは、お口の健康だけでなく、お身体全体の健康や将来にわたる健康にも大きく影響します。私どもは、幼いうちから始める矯正治療に積極的に取り組み、お子さまの健やかな成長のお手伝いをしたいと考えています。お子さまのお口で気になることがありましたら、なんなりとご相談ください。

急速拡大装置、マルチブラケットを中心とした治療

矯正治療にはいくつかの方法がありますが、当院では歴史のあるマルチブラケット治療を選択しています。マウスピース矯正は対応しておりませんのでご了承ください。前歯のここのゆがみだけ治してほしい、でも費用は抑えたい、

など様々なニーズにお応えしますので一度ご相談ください。院長がすべての矯正治療を行いますので予約が非常に

取りやすくなっています。

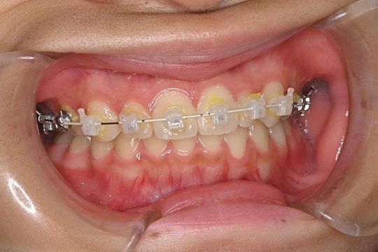
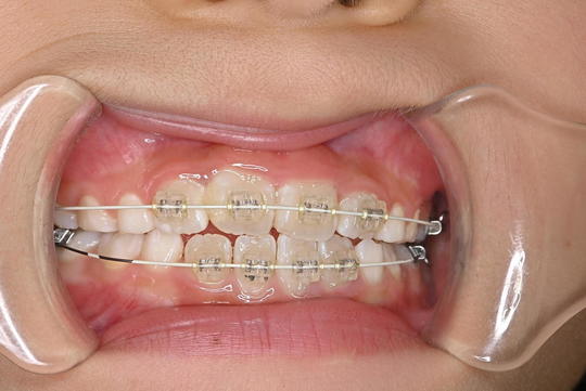
マルチブラケット治療とは?

ブラケットというものを歯に貼り付け、ワイヤーを通して歯並びを治していきます。マウスピース矯正に比べ短時間で治すことが可能です。

また強制的に歯が動くので、マウスピースのように治療中に後戻りを起こすこともありません。デメリットは見た目になります。なるべく痛くないように細いワイヤーから歯を動かしていきます。徐々に太いワイヤーに変更していき、最終的に歯をならべていきます。

治療名:小児矯正
治療の説明:歯並びと噛み合わせの改善を目的に行う歯科治療。歯に矯正装置をつけて、歯やあごの骨に力をかけながらゆっくり動かしていきます。
治療のリスクや副作用:歯と顎のバランスによってはご自身の歯を抜く場合があります。装置装着後、痛みを感じることがあります(歯が動く正常な反応なので心配ありません)。頬の粘膜・唇・舌などに、口内炎ができることがあります。重なっていた歯がきれいに並んだことで歯ぐきと両隣の歯との間に三角形の隙間ができる可能性があります。
治療の価格:小児矯正、プチ矯正440,000円(400,000円 税別)※検査料、調整料込み

     成人矯正880,000円(800,000円 税別)※検査料、調整料込み

治療名:急速拡大装置、床矯正、マルチブラケット治療
治療の説明:取り外し式の装置を口の中に入れ、こどもの成長に合わせて少しずつ歯列の幅を広げることで自然な歯並びへと誘導する矯正方法です。
治療のリスクや副作用:装着時に多少しゃべりづらくなる可能性があります(2日ほどで慣れます)。歯列を広げる過程で少し痛みを感じる可能性があります。装置を正しく装着しないと治療期間が長くなる可能性があります。

矯正歯科の流れ

ご相談

歯並びや噛み合わせについて、気になることを何でもご相談ください。矯正治療について大まかな説明をいたします。

精密検査

レントゲン撮影、歯型の採取、噛み合わせの確認など、診断のための検査を行います。

治療計画の説明

検査結果をご説明し、治療計画をご案内します。

治療・通院

治療計画にご納得いただけましたら、治療を開始します。

治療後の観察

歯並びが整ったら、保定装置(リテーナー)をつけていただきながら、経過観察を行います。

パソコン|モバイル
ページトップに戻る